
قیمت ایمپلنت کامل فک بالا و پایین | اقساط، روشها و عوامل مؤثر
قیمت ایمپلنت کامل فک بالا و پایین | اقساط، روشها و عوامل مؤثر از دست دادن دندانها در یک فک کامل، میتواند تأثیر زیادی

قیمت ایمپلنت کامل فک بالا و پایین | اقساط، روشها و عوامل مؤثر از دست دادن دندانها در یک فک کامل، میتواند تأثیر زیادی

انواع روکش دندان از مهمترین مراحل درست کردن دندان، استفاده از روکش می باشد. روکش ها بخش مهمی از زیبایی و درمان را شامل می

مراقبت های بعد کشیدن دندان عقل یکی از مشکلاتی که اغلب افراد بعد از دندان کشیدن با آن همراه هستند، خون ریزی و درد می

بعد از کشیدن دندان چه بخوریم؟ یکی از مشکلاتی که اغلب افراد بعد از کشیدن دندان با آن دست و پنجه نرم می کنند، این

هزینه عصب کشی دندان یکی از روش های درمانی پرهزینه دندان، عصب کشی می باشد که افراد زیادی قادر به انجام آن نیستند. به این

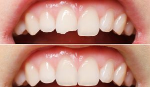
بهترین روش ترمیم دندان روش های بسیار مهمی برای ترمیم دندان استفاده می شوند که بهتر است با عالی ترین آن ها در این روش

قیمت کشیدن دندان کشیدن دندان یکی از روش های درمانی الزامی محسوب می شود که در مواقع خاص صورت می گیرد. پس زمانی که پزشک

هزینه روکش دندان یکی از روش های درمانی که نقش زیبایی را نیز در ظاهر دندان ها به عهده دارد، استفاده از روکش دندان می

روکش دندان روکش دندان یکی از روشهای پرکاربرد در ترمیم و زیبایی دندانها است که به دلیل اثربخشی بالا در بهبود ظاهر و عملکرد دهان،

مراقبت های بعد از عصب کشی دندان عصب کشی یک دوره درمانی تخصصی برای درمان ریشه و عفونت دندان محسوب می شود که بعد از

اگر دندان را عصب کشی نکنیم چه می شود؟ از رایج ترین مشکلاتی که افراد زیادی با آن سر و کله می زنند، درد دندان

فرق لمینت و کامپوزیت دندان داشتن دندان های سفید و زیبا از آرزوی همه افراد محسوب می شود. اما متاسفانه برخی از افراد به صورت
برای ثبت نام دندانپزشکی خود در سایت ما و ساخت صفحه اختصاصی دندانپزشکی خود بر روی دکمه زیر کلیک نمایید.
تمامی حقوق مادی و معنوی این سایت محفوظ و متعلق به ایستگاه دندان می باشد.
بعد از ثبت اطلاعات همکاران ما برای ثبت پکیج شما و گرفتن اطلاعات با شما تماس حاصل می فرمایند.